Le Data Challenge RESPRED_UC
Développer de nouveaux outils de prédiction de la réponse à l’immunothérapie pour le carcinome urothélial de la vessie grâce à l’IA

Le Data Challenge RESPRED_UC est une compétition internationale en science des données organisée par l’Hôpital Foch. Son objectif est de développer des outils pour prédire la réponse à l'immunothérapie dans la prise en charge du carcinome de la vessie.
Des équipes du monde entier seront mises en concurrence pour développer le modèle d’intelligence artificielle (IA) le plus performant capable de prédire l’efficacité de l’immunothérapie chez les patients atteints d’un carcinome urothélial de la vessie. La compétition se basera sur l’analyse d’une base de données inédite d’environ 500 lames histologiques numérisées.
Les modèles des lauréats seront publiés en open source et référencés dans la BOAS et les données mobilisées seront accessibles en open data sur la plateforme data.gouv.
Ce challenge a été organisé dans le cadre de l’Appel à projets “Data Challenges en santé" et a bénéficié d’un soutien financier du plan France 2030 et d’un accompagnement par le Health Data Hub.
RESPRED_UC : zoom sur la question médicale

Le cancer urothélial de la vessie est le 7e cancer le plus fréquent en France. Les traitements altèrent souvent la qualité de vie des patients et près de la moitié des patients atteints d’un cancer infiltrant le muscle décèdent dans les 5 ans après le diagnostic.
L’immunothérapie a pu démontrer sa capacité à améliorer le pronostic des patients atteints de cancers urothéliaux de la vessie. Cependant, ce traitement n’est efficace que chez 20 % à 35 % d’entre eux. Il est alors important d'identifier les patients répondant à l’immunothérapie pour optimiser l’efficacité des prises en charge, éviter les effets indésirables et les pertes de chances inutiles, tout en limitant le recours à des traitements coûteux.
Pour répondre à ce problème, l’hôpital Foch a lancé le challenge RESPRED_UC dans le but de favoriser grâce à l’IA la prédiction de la réponse à l’immunothérapie pour le cancer urothélial de la vessie.
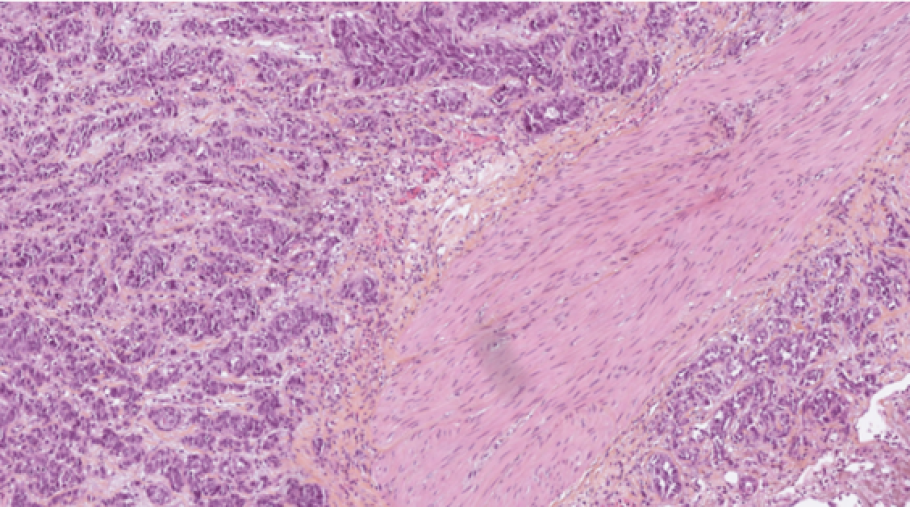
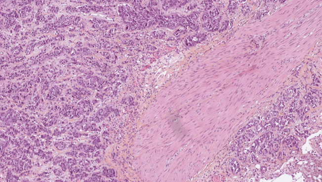
Une base de données unique de lames histologiques
Trois centres français participent à la constitution et l’annotation d’une base de données inédite d’environ 500 lames histologiques numérisées de carcinome urothélial de la vessie.
Ouverture des résultats et perspectives
La publication en open data offrira un accès libre et gratuit à cette base de données inédite et ouvrira la voie à de nouveaux travaux collaboratifs de recherche sur les cancers de la vessie. Cette base de données de grande qualité et annotée pourra constituer également un support pédagogique précieux dans la formation des anatomopathologistes.
Les modèles en open source seront accessibles et déployables partout dans le monde, rendant l’expertise en histologie plus accessible et permettant la poursuite du développement d’outils de prédiction de réponse à l’immunothérapie pour le cancer urothélial de la vessie.
Les partenaires
- Dr Camélia Radulescu : Anatomopathologiste, Adjointe au chef de service d’anatomie et cytologie pathologiques de l’hôpital Foch
- Yaniss Hamiche : Chef de projet à l'hôpital Foch
Le programme Data Challenges en santé
Depuis 2020, par le biais de l’appel à projets “Data Challenges en santé”, le Health Data Hub accompagne des acteurs de l'écosystème de la santé dans l’organisation de Data Challenges portant sur des thématiques médicales d’intérêt et à portée internationale. Ces projets bénéficient d’un soutien financier de Bpifrance ainsi que d’un accompagnement logistique, technique et organisationnel de bout en bout par les équipes du Health Data Hub.
Découvrez l'ensemble des Data Challenges sur la page Les Data Challenges en santé.
Pour en savoir plus sur l’appel à projets “Data Challenges en santé”, rendez-vous sur la page dédiée.