Le Data Challenge DigiLut
Améliorer la détection du rejet de greffe pulmonaire grâce à l’IA

Lancé en juin 2024, le Data Challenge DigiLut est une compétition internationale en science des données organisée par l'hôpital Foch. Son objectif est de faire émerger une solution d'aide à la décision médicale visant à consolider le diagnostic des épisodes de rejet de greffe pulmonaire chez les patients transplantés.
Près de 250 équipes du monde entier ont été mises en concurrence pour développer le modèle d’IA le plus performant dans l’analyse d’images de biopsies pulmonaires de patients greffés. Grâce à l’exploitation d’une base de données inédite de 2 500 lames numérisées de biopsies, près de 1 200 algorithmes ont été soumis par les participants.
Les modèles des lauréats sont disponibles en open source et référencés dans la BOAS et les données mobilisées sont accessibles en open data sur la plateforme data.gouv.
Ce challenge a été organisé dans le cadre de l’Appel à Manifestation d'Intérêt "Data Challenge en santé" et a bénéficié d’un soutien financier du plan France 2030 et d’un accompagnement par le Health Data Hub.
Retour sur le Data Challenge DigiLut
DigiLut : zoom sur la question médicale

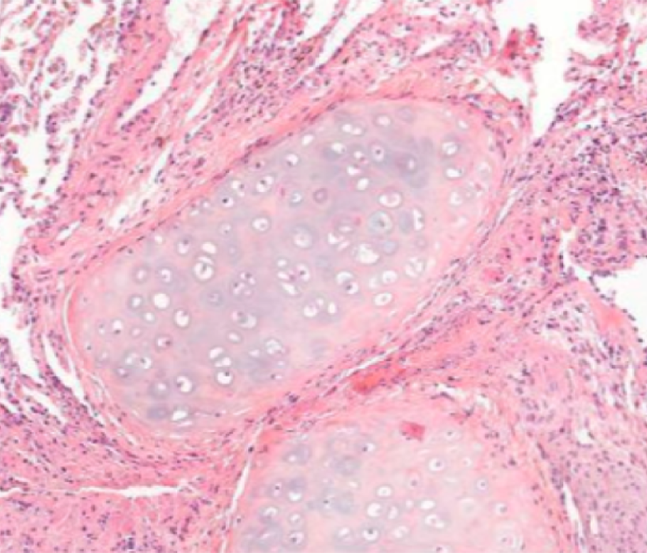
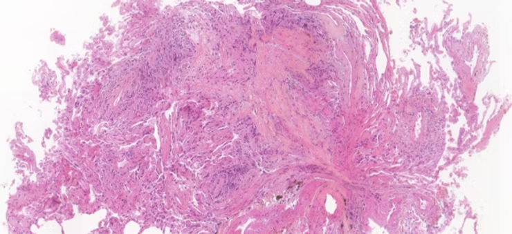
La transplantation pulmonaire est le seul traitement curatif pour les maladies respiratoires terminales, avec environ 4 000 transplantations effectuées chaque année dans le monde. Malgré son potentiel vital, le succès de la transplantation reste étroitement liée au risque de rejet du greffon. Ce phénomène complexe et hétérogène est actuellement évalué par examen histologique, une méthode dont la reproductibilité demeure limitée.
Pour y remédier, l’hôpital Foch a lancé le challenge DigiLut dans le but d’assister grâce à l’IA les praticiens du monde entier dans la détection des épisodes de rejet de greffe dans le cadre des transplantations pulmonaires.
Une base de données unique de biopsies transbronchiques de patients greffés
L’hôpital Foch, principal centre de transplantation pulmonaire en France et l’un des meilleurs en Europe, a constitué une base de données inédite de plus de 2 500 lames numérisées d’anatomopathologie de biopsies transbronchiques de greffons pulmonaires, annotées par un panel international d’experts anatomopathologistes (États-Unis, Canada, France, Allemagne, Italie, Royaume-Uni, Pays-Bas) conformément à la grille LASHA “Lung allograft standardized histological analysis”.
Cette base de données a été mise à disposition sur la plateforme en ligne Trustii.io pour une durée de 2 mois, permettant ainsi à des équipes du monde entier de participer au challenge et de soumettre leurs modèles d’IA. Le but : créer un outil capable d'identifier des zones pathologiques dans les tissus pulmonaires de patients greffés.
Les résultats du Data Challenge
Trois algorithmes se sont démarqués et leurs modèles sont d’ores et déjà publiés en open source et référencés sur la Bibliothèque Ouverte d'Algorithmes en Santé (BOAS).
- 1ère place – CVN Team : Loïc Le Bescond et Aymen Sadraoui, doctorants du CVN Lab
L'équipe CVN a combiné des réseaux de neurones convolutifs (CNN) et des architectures basées sur des transformers. Les images ont été segmentées en unités plus petites que les autres modèles proposés. Ont également été utilisées des augmentations de données et des pseudo-étiquettes pour améliorer la précision.
- 2ème place – MaD Lab Team : Emmanuelle Salin et Arijana Bohr, respectivement PostDoc Chef de Groupe et doctorante à l'Université Friedrich-Alexander d'Erlangen-Nuremberg
L'équipe MaD Lab a utilisé un modèle en deux étapes pour classer et détecter les structures des images, utilisant des modèles CoAT et Co-DINO pour des prédictions précises.
- 3ème place – Harshit Sheoran, étudiant en licence à Goldsmiths University of London
Harshit a appliqué une stratégie similaire avec un modèle de classement et de détection, intégrant également des pseudo-étiquettes et des équipements performants.
La remise des prix des lauréats de DigiLut a eu lieu le 14 novembre 2024 et était dédiée à présenter plus en détails les enjeux et résultats du Data Challenge.
Ouverture des résultats et perspectives
La publication en open data offre un accès libre et gratuit à cette base de données inédite et ouvre la voie à de nouveaux travaux collaboratifs de recherche sur le rejet de greffe pulmonaire. Cette base de données de grande qualité et richement annotée constitue également un support pédagogique précieux pour la formation à l’analyse de lames d’anatomopathologie de biopsies pulmonaires.
Les modèles disponibles en open source sont accessibles et déployables partout dans le monde, rendant l’expertise en l’analyse des biopsies pulmonaires plus accessible et permettant la poursuite du développement d’outils d’aide au diagnostic dans le cadre des transplantations pulmonaires.
Les partenaires
- Pr Antoine Roux : Professeur de pneumologie à l’Université de Versailles Saint-Quentin-en-Yvelines, Pneumologue à l’hôpital Foch
- Dr Justine Cohen : Anatomopathologiste à l’hôpital Foch
- Yaniss Hamiche : Chef de projet à l’hôpital Foch
- Sarra Ben Yahia : Data Scientist à l’hôpital Foch
Le programme Data Challenges en santé
Depuis 2020, par le biais des Appels à Projets “Data Challenges en santé”, le Health Data Hub accompagne des acteurs de l'écosystème de la santé dans l’organisation de projets de Data Challenge portant sur des thématiques médicales d’intérêt et à portée internationale. Ces projets bénéficient d’un soutien financier de Bpifrance ainsi que d’un accompagnement logistique, technique et organisationnel de bout en bout par les équipes du Health Data Hub.
Découvrez l'ensemble des Data Challenges sur la page Les Data Challenges en santé.
Pour en savoir plus sur l’Appel à Projets “Data Challenges en santé”, rendez-vous sur la page dédiée.