Le Data Challenge ANNITIA
Etablir une méthode de stratification du risque de progression de la stéatose hépatique métabolique grâce à l’IA

Le Data Challenge ANNITIA est une compétition internationale en science des données organisée par l’IHU ICAN. Son objectif est de développer des outils pour automatiser la prédiction du risque de progression de la stéatose hépatique métabolique (MASLD).
Des équipes du monde entier seront mises en concurrence pour développer le modèle d’intelligence artificielle (IA) le plus performant dans la prédiction de l’évolution de cette maladie en modélisant l’évolution longitudinale simultanée de mesures répétées de trois tests non invasifs, grâce à l’analyse d’une base de données inédite de 2 250 patients.
Les modèles des lauréats seront disponibles en open source et référencés dans la BOAS et les données mobilisées seront accessibles en open data sur la plateforme data.gouv.
Ce challenge a été organisé dans le cadre de l’Appel à projets “Data Challenges en santé" et a bénéficié d’un soutien financier du plan France 2030 et d’un accompagnement par le Health Data Hub.
ANNITIA : zoom sur la question médicale

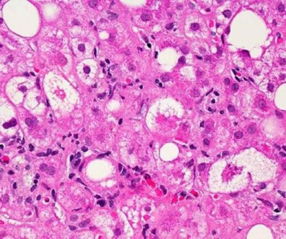
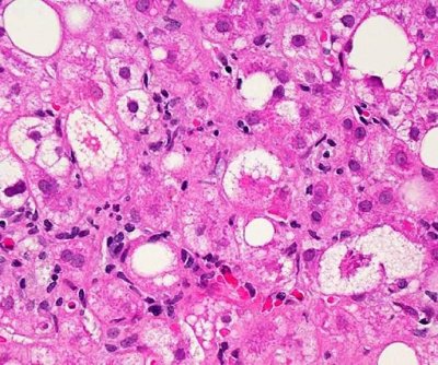
La stéatose hépatique métabolique (MASLD) est caractérisée par une accumulation excessive de graisse dans le foie et comprend un large spectre d’altérations dans le tissu de l’organe (stéatose isolée, stéatohépatite métabolique – MASH, fibrose, cirrhose et carcinome hépatocellulaire – CHC).
Cette maladie présente une prévalence élevée dans le monde, en touchant environ 30 % de la population générale et constitue l’une des principales causes de maladie hépatique chronique. La progression de la MASLD est silencieuse, ce qui souligne l’importance d’avoir des outils d’évaluation plus performantes avant l’apparition de complications hépatiques sévères
Si les tests non invasifs développés pour prédire le stade de fibrose et identifier les patients à risque sont simples et de plus en plus utilisés dans la pratique clinique, de validations sont encore nécessaires. La biopsie reste alors l’examen de référence pour évaluer la MASH et la fibrose, malgré son caractère invasif, son coût et la variabilité diagnostique inter- et intra-observateur.
Les valeurs initiales des tests non invasifs sont corrélées aux événements hépatiques mais il manque comprendre comment les variations lors de mesures répétées des tests reflètent la progression ou la régression de la maladie.
Pour y remédier, l’IHU ICAN a lancé le challenge ANNITIA dans le but de favoriser grâce à l'IA la prédiction des évènements hépatiques liés à l’évolution de la MASLD à partir de tests non invasifs pour corroborer à la prise de décision clinique.
Une base unique de données de tests non invasifs en hépatologie
Une base de données inédite de 2 250 patients contenant des données cliniques, des scores de biopsies et des résultats de différents tests non invasifs a été constituée et annotée par des experts.
Cette base de données sera mise à disposition sur la plateforme en ligne Trustii.io permettant ainsi à des équipes du monde entier de participer au challenge et de soumettre leurs modèles d’IA. Le but : créer un outil fiable et performant capable de prédire le risque de progression de la stéatose hépatique métabolique à partir de tests non invasifs.
Ouverture des résultats et perspectives
La publication en open data offrira un accès libre et gratuit à cette base de données inédite et ouvrira la voie à de nouveaux travaux collaboratifs de recherche sur la stéatose hépatique métabolique. Cette base de données de grande qualité et richement annotée constituera également un support pédagogique précieux dans la formation des hépatologues, cliniciens et chercheurs sur la thématique.
Les modèles en open source seront accessibles et déployables partout dans le monde, rendant l’expertise en hépatologie plus accessible et permettant la poursuite du développement d’outils de prédiction du risque de progression de la’une stéatose hépatique métabolique à partir de tests non invasifs.
Les partenaires
- Pr Vlad Ratziu : Médecin hépatologue à l’hôpital de la Pitié-Salpêtrière
- Leila Kara : Chargée d’opérations scientifiques à l’IHU ICAN
- Vittoria Zambon : Chef de projet à l’IHU ICAN
Le programme Data Challenges en santé
Depuis 2020, par le biais de l’appels à projets “Data Challenges en santé”, le Health Data Hub accompagne des acteurs de l'écosystème de la santé dans l’organisation de Data Challenge portant sur des thématiques médicales d’intérêt et à portée internationale. Ces projets bénéficient d’un soutien financier de Bpifrance ainsi que d’un accompagnement logistique, technique et organisationnel de bout en bout par les équipes du Health Data Hub.
Découvrez l'ensemble des Data Challenges sur la page Les Data Challenges en santé.
Pour en savoir plus sur l’appel à projets “Data Challenges en santé”, rendez-vous sur la page dédiée.